中盛邁高國際貿易(北京)有限公司,專註醫療設備20年,法人代表,銷售代表,售後服務工程師等均來自世界一流醫療器械廠傢(GE飛利浦,西門子等),是一傢業務遍及中國及澳大利亞,部分東南亞國傢,俄羅斯等國的高端醫療設備集成供貨商。公司下設邁高醫療器材,邁高國際貿易,邁高醫療醫院集團。聯手世界各大醫療設備廠商(GE通用醫療,西門子,飛利浦等),主營高端醫療設備。公司向各地用戶提供優質高端的產品,公司員工均來自各大著名醫療設備公司,高素質的人員向用戶提供優質高端的服務。用戶的滿意是我們一貫的宗旨。公司將攜手各大醫療設備廠商,各地用戶,傾力將邁高醫療打造成供應一流產品,提供一流服務,用戶100%滿意的國際化醫療設備公司。 專註超聲20年!願與閣下攜手,共同邁進醫療設備新時代!歡迎來京洽談采購!咨詢電話和微信:13901359602









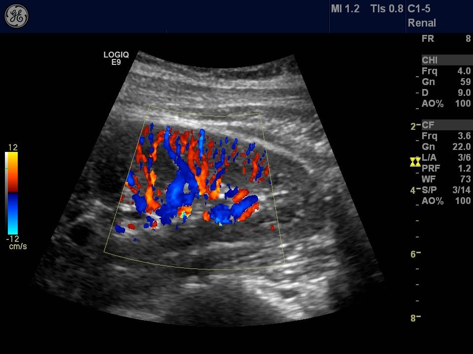
LOGIQ E9是國際上最高端的彩超設備之一,該設備操作靈巧,圖像清晰度高,配備瞭腹部、心臟、高頻、四維容積等4個探頭,采用多種成像技術,具有細微分辨率高、彩色血流充盈度好、對低速血流敏感度高等優點。可應用於腹部、心血管、婦產科、淺表器官、周圍血管、胃腸道等臟器疾病的超聲診斷,亦可開展超聲介入診斷與治療。
LOGIQ E9是最靈活機敏的超聲平臺
常規超聲探頭隻能實時觀察探頭當前所在體表切麵的圖像,當觀察較大的解剖結構時,醫生隻能在頭腦中將系列的圖像拼接起來,對整個解剖結構及其周邊組織的整體認識有一定難度,而 LOGIQ E9的寬景成像技術彌補瞭這一缺憾,它利用計算機數字圖像配準和拼接技術,將二維超聲實時獲取的一系列圖像拼接為整體圖像,醫生可直接觀察整個解剖結構及周圍組織,並可進行縮放、旋轉、增強和回放等後處理。
LOGIQ E9突出的兩大優勢在於:
其一,實時四維成像技術 可進行超聲四維重建,尤其在胎兒畸形篩查方麵有重大意義,容積探頭表麵成像模式對胎兒體表結構進行重建或實時三維、四維成像,可清晰觀察二維超聲無法顯示的胎兒表麵結跑結構及其相互間的空間位置關系,可以發現胎兒的一些生理變異和畸形,可觀察胎兒骨骼系統的生長發育情況,有助於發現一些先天性畸形,可對胎兒彩色多普勒血流進行四維重建,可診斷臍帶和胎兒血管的畸形。四維成像對於婦科囊性及實性腫瘤可清晰的現實腫瘤內壁和包膜是否平滑,有無贅生物,及其大小和形態特征,對臨床醫師手術方案的製定提供可靠的依據。此外對於卵泡形態的觀察和容積的測量,可監測卵泡的發育,準確預測排卵。對於膽囊、膀胱、胃腸道等空腔臟器在充液狀態下可良好的顯示其內部結構和病變特征,觀察結石、息肉、腫瘤潰瘍等病變的立體形態,彌補瞭二維超聲的不足,對定性和定位診斷有極大的幫助。對於血管的四維重建,可清晰完整的顯示斑塊的大小及形態,並可多角度的觀察斑塊的形態及內膜情況,並可清晰顯示血管的主乾及分支,所獲得的病變信息更接近於實際解剖結構。
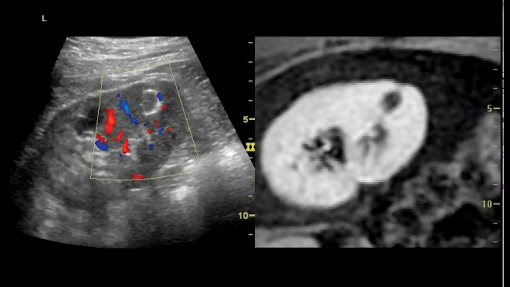
其二:容積導航技術 LOGIQ E9使軍事領域最前沿的容積導航、GPS技術在醫學領域得到瞭應用,容積導航技術是將實時超聲圖像與前次檢查獲得的CT、MR或PET圖像融合在一起,虛擬掃描以前的研究數據以匹配實時超聲圖像,將圖像並列或重疊起來進行比較,充分利用每個成像模式的優勢,通過雙定位器幫助醫生對患者的多個病變目標進行實時跟蹤,對腫瘤病灶進行標記追蹤,讓病變位置無處藏身,還可以實現神奇地在CT片上觀察血流!GPS標記的容積導航技術可以標記病灶的位置並幫助計數,並且通過對最佳穿刺角度的追蹤定位,避免碰到神經血管等結構,引導介入手術的完成,進一步提高穿刺診療的精確性與安全性。LOGIQ E9還可以使用超聲進行療效跟蹤,幫助患者減少CT用量,避免放射劑量。
LOGIQ E9還具有兩項新技術:
組織彈性成像技術和寬景成像技術。組織彈性成像可有效鑒別實質性腫瘤的良惡性,對惡性病變診斷具有較高的特異性和敏感性,可用於乳腺、前列腺、甲狀腺等小器官,另外組織彈性成像還可用於肝纖維化的診斷、局部心肌評價。
更高的硬件平臺AVA高速平臺;全新的D系列探頭;創新的掃描助手(Scan Assist);更先進的人機工程學設計。
更快的四維快30倍的傳輸速度,高8倍的處理能力;一個心動周期的心臟全容積成像;靈活容積成像(Flexi-Volumes);四維自動切麵顯示(4D Views);四維負荷超聲(4D Stress);四維虛擬存儲(4D Virtual Store);四維自動左室心功能分析( 4D Auto LVQ);四維右室功能分析(4D RV Analysis *);
更優異的圖像質量M5S廣角探頭:單晶體技術與麵陣技術的融合,完美解決瞭分辨率和穿透力之間的矛盾,獲得瞭無與倫比的心臟二維圖像和更好的血流;120°的超大扇角掃描:大心臟也能完全包絡;更優異的血管、腹部、小器官成像。
更精確的心肌定量分析技術全麵的組織Doppler分析:TVI、TTI、Strain/Strain Rate、TSI;遙遙領先的斑點追蹤技術:2D Strain、AFI、TSI、Tosi
新手教學
批發市場僅提供代購諮詢服務,商品內容為廠商自行維護,若有發現不實、不合適或不正確內容,再請告知我們,查實即會請廠商修改或立即下架,謝謝。